traitement orthodontie adulte
orthodontie invisible
traitement orthodontie adulte

TRAITEMENT ADULTE

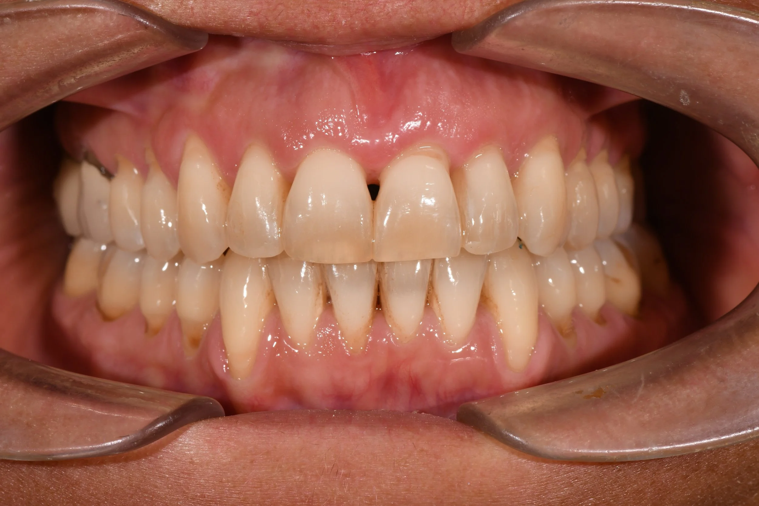
L’orthodontie chez l’adulte permet d’améliorer l’alignement des dents, l’esthétique du sourire et la fonction masticatoire, quel que soit l’âge.

De plus en plus d’adultes entreprennent aujourd’hui un traitement orthodontique, souvent dans le cadre d’un projet global de santé bucco-dentaire.

Chez l’adulte, les traitements sont parfois plus complexes que chez l’enfant ou l’adolescent. Ils peuvent nécessiter l’intervention de plusieurs professionnels, tels que le chirurgien-dentiste, le parodontologue, le chirurgien oral ou le prothésiste. Cette approche pluridisciplinaire permet d’assurer un traitement sécurisé, cohérent et durable.

Chaque prise en charge débute par un bilan personnalisé, prenant en compte la position des dents, l’état des gencives, des os et les objectifs du patient. L’orthodontie peut ainsi préparer ou accompagner d’autres soins, comme des restaurations, des implants ou des réhabilitations prothétiques.

Tout au long du traitement, l’accompagnement est essentiel. Le suivi régulier, l’écoute et la coordination entre les différents intervenants permettent d’atteindre un résultat harmonieux, fonctionnel et stable dans le temps.